画像検査
①グリット線
目視だけではわからない細かな体幹のゆがみを可視化します。
ビジュアル的に説明させて頂くことで患者様もご自身の姿勢やゆがみを自覚することができる為、早期の改善が見込めます。




↑施術前:右肩が上がり、前に重心が偏っている ↑施術後:肩が平行になり、重心が真ん中になっている
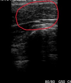
②エコー検査
徒手検査だけでは捉えきれない内部構造を可視化し、正確に状態把握と判断を支援します。
筋肉の動きや炎症所見をリアルタイムに確認することで、施術の精度を高めます。


←施術前:白い靄が多く、筋肉同士が癒着し
滑走が悪い状態
←施術後:靄が減り、筋肉同士のゆとりが出来て
滑走が良くなった状態
③コンデビュー
2分半の自律神経活動(交感神経、副交感神経)を記録し、データとして算出します。
活動記録と同時に評価まで行うのでスピーディーな測定が可能となります。

実際の映像はこちらからご覧ください!



